العثور على البلاستيك داخل أكثر من 50% من شرائح انسداد الشرايين

العثور على البلاستيك داخل أكثر من 50% من شرائح انسداد الشرايين
مصر: ايهاب محمد زايد
البلاستيك موجود الآن في كل مكان، حيث توجد شظايا صغيرة في العديد من الأعضاء الرئيسية في جسم الإنسان، بما في ذلك المشيمة.
ونظرًا لمدى سهولة تسلل الجزيئات المجهرية إلى أنسجتنا، فمن المهم أن نتعرف بالضبط على أنواع المخاطر التي يمكن أن تشكلها على صحتنا.
كان الباحثون منشغلين بدراسة تأثيرات المواد البلاستيكية الدقيقة في النسخ المصغرة للأعضاء، وفي الفئران، للتعرف على كيفية تأثيرها على جسم الإنسان. ومع ذلك، فإن تركيزات المواد البلاستيكية الدقيقة المستخدمة في تلك الدراسات قد لا تعكس تعرض الناس للعالم الحقيقي، ولم يتم إجراء سوى القليل من الدراسات على البشر.
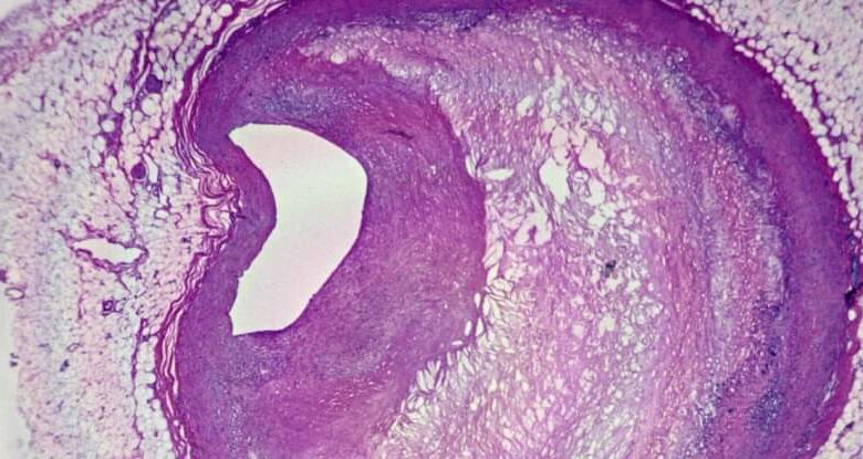
الآن، وجدت دراسة صغيرة في إيطاليا شظايا من البلاستيك الدقيق في رواسب دهنية تمت إزالتها جراحيا من المرضى الذين خضعوا لعملية جراحية لفتح الشرايين المسدودة – وأبلغت عن نتائجهم الصحية بعد ما يقرب من 3 سنوات.
إن إزالة اللويحات الدهنية من الشرايين الضيقة في إجراء يسمى استئصال باطنة الشريان السباتي يقلل من خطر الإصابة بالسكتات الدماغية في المستقبل.
وتساءل الفريق الذي يقف وراء هذه الدراسة الجديدة، بقيادة رافاييل مارفيلا، الباحث الطبي في جامعة كامبانيا في نابولي، عن مدى خطورة الإصابة بالسكتة الدماغية – وكذلك النوبات القلبية والوفاة – مقارنة بين المرضى الذين لديهم جزيئات بلاستيكية دقيقة في لويحاتهم وأولئك الذين لديهم جزيئات بلاستيكية دقيقة في لويحاتهم. لم.
بعد متابعة 257 مريضًا لمدة 34 شهرًا، وجد الباحثون أن ما يقرب من 60% منهم لديهم كميات قابلة للقياس من البولي إيثيلين في لويحات تم سحبها من شرايينهم السميكة بالدهون، و12% لديهم أيضًا كلوريد البوليفينيل (PVC) في رواسب الدهون المستخرجة.
يأتي PVC في أشكال صلبة ومرنة، ويستخدم في صناعة أنابيب المياه، والزجاجات البلاستيكية، والأرضيات، والتغليف. البولي إيثيلين هو البلاستيك الأكثر إنتاجًا، ويستخدم في الأكياس البلاستيكية والأفلام والزجاجات أيضًا.
ومع وجود جسيمات بلاستيكية دقيقة تسري في مجرى الدم لدى البشر، كان الباحثون قلقين بشكل معقول بشأن صحة القلب. تشير الدراسات المعملية إلى أن المواد البلاستيكية الدقيقة يمكن أن تسبب الالتهاب والإجهاد التأكسدي في خلايا القلب، وتضعف وظائف القلب، وتغير معدل ضربات القلب، وتسبب تندب القلب في الحيوانات مثل الفئران.
وكتب مارفيلا وزملاؤه: “تشير البيانات الرصدية المستمدة من دراسات التعرض المهني (أيضًا) إلى زيادة خطر الإصابة بأمراض القلب والأوعية الدموية بين الأشخاص الذين يتعرضون للتلوث المرتبط بالبلاستيك، بما في ذلك كلوريد البولي فينيل، مقارنة بالخطر الذي يظهر في عموم السكان”.
في الدراسة، كان المرضى الذين لديهم جسيمات بلاستيكية دقيقة في اللويحات المستأصلة أكثر عرضة بمقدار الضعف للإصابة بسكتة دماغية أو نوبة قلبية غير مميتة أو الوفاة لأي سبب بعد 34 شهرًا من الأشخاص الذين لم يكن لديهم جسيمات بلاستيكية دقيقة يمكن اكتشافها في اللويحات التي أزالها الجراحون.
تم قياس كمية اللدائن الدقيقة، وحتى الجزيئات الأصغر التي تسمى اللدائن النانوية، باستخدام تقنية تسمى الانحلال الحراري – كروماتوغرافيا الغاز – قياس الطيف الكتلي، وتم تأكيد وجودها باستخدام طريقة أخرى، وهي تحليل النظائر المستقرة، والتي يمكنها التمييز بين الكربون الموجود في الأنسجة البشرية وكربون الأنسجة البشرية. البلاستيك المصنوع من البتروكيماويات.
وكانت الجسيمات البلاستيكية مرئية أيضًا تحت مجاهر قوية: لاحظ الباحثون شظايا بلاستيكية ذات حواف خشنة داخل الخلايا المناعية التي تسمى البلاعم، وداخل اللويحات الدهنية. وبفحص عينات الأنسجة، وجد الفريق أيضًا مستويات أعلى من علامات الالتهاب لدى المرضى الذين لديهم جسيمات بلاستيكية دقيقة في لويحاتهم.
لوحة مكونة من صورتين بالأبيض والأسود تظهر جزيئات بلاستيكية خشنة، مميزة بالسهام، في أقسام الأنسجة، والتي يتم عرضها تحت المجهر.
وشوهدت جزيئات بلاستيكية خشنة داخل الخلايا البلعمية ورواسب الأنسجة الدهنية، التي تم إزالتها من الشرايين المسدودة.
ومع ذلك، ضع في اعتبارك أن دراسة رصدية كهذه لا يمكن أن تستنتج بشكل قاطع أن المواد البلاستيكية الدقيقة تسبب تأثيرات على القلب؛ فقط أن هناك جمعية. ولم تأخذ الدراسة في الاعتبار عوامل الخطر الأخرى لأمراض القلب والأوعية الدموية، مثل التدخين والخمول البدني وتلوث الهواء.
“على الرغم من أننا لا نعرف ما هي حالات التعرض الأخرى التي قد تكون ساهمت في النتائج الضارة بين المرضى في هذه الدراسة، فإن العثور على اللدائن الدقيقة والجسيمات البلاستيكية النانوية في أنسجة البلاك هو في حد ذاته اكتشاف مذهل يثير سلسلة من الأسئلة الملحة،” مثل كيفية تقليل التعرض، يكتب طبيب الأطفال وطبيب الصحة العامة وعالم الأوبئة فيليب ج. لاندريجان، من كلية بوسطن، في افتتاحية مصاحبة.
لقد شهد إنتاج البلاستيك زيادة كبيرة في العقدين الماضيين، ولم تتم إعادة تدوير سوى جزء صغير منه، ومع ذلك فقد انخفضت معدلات الإصابة بأمراض القلب والأوعية الدموية في بعض أنحاء العالم، لذلك هناك حاجة إلى مزيد من البحث لفهم العلاقة بين الاثنين.
وقد نشرت الدراسة في مجلة نيو انغلاند الطبية.(مارفيلا وآخرون، NEJM، 2024)



