تلف الدماغ السام ينتج من التدخين
-
دراسات وابحاث
تلف الدماغ السام ينتج من التدخين
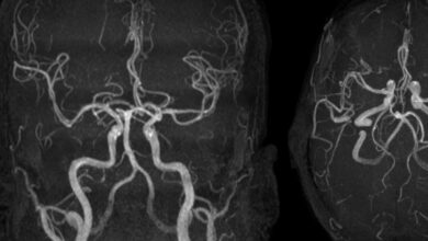
تلف الدماغ السام ينتج من التدخين مصر:إيهاب محمد زايد يرتبط تدخين الفنتانيل بتلف الدماغ السام في أول حالة تم الإبلاغ…
أكمل القراءة »
تلف الدماغ السام ينتج من التدخين مصر:إيهاب محمد زايد يرتبط تدخين الفنتانيل بتلف الدماغ السام في أول حالة تم الإبلاغ…
أكمل القراءة »